
新闻动态
联系我们
陕西依科生物技术服务有限公司首页 > 试验技术指导 > 黑龙江马松染色实验步骤及注意事项
陕西依科生物技术服务有限公司免费为您提供{黑龙江全景数字扫描},{黑龙江荧光扫描},{黑龙江白光扫描}等一些相关信息的展示发布,请您关注本站!
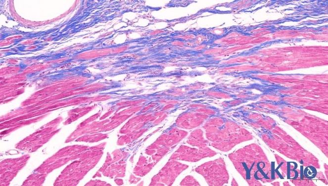
马松(Masson)染色是一种用于可视化组织中纤维和炎性因子的染色方法。该技术充分利用了不同组织成分对阴离子染料渗透性的差异。此法多用于观察病变组织中纤维结缔组织的增生和分布,纤维性肿瘤与肌源性肿瘤的鉴别,在肌肉疾病和心血管疾病的诊断中具有重要意义。
一、原理:
黑龙江Masson染色,又称为马松染色,是结缔组织染色领域中经典且权威的一种技术方法,专注于胶原纤维的染色。该方法被广泛应用于组织学研究中,其主要目的是对胞核进行染色,并能够有选择地展示胶原纤维和肌纤维。Masson染色的原理与阴离子染料分子的大小以及对组织的渗透性密切相关:分子的大小由其分子量决定,小分子量的染料能够轻松穿透结构致密、渗透性低的组织,而大分子量则仅能进入结构疏松、渗透性较高的组织。然而,由于淡绿或苯胺蓝的分子量较大,因此Masson染色后,肌纤维呈现红色,而胶原纤维呈绿色或蓝色,主要用于区分这两者。
二、实验步骤:
1.黑龙江石蜡切片脱蜡至水:将切片依次置于二甲苯Ⅰ中浸泡20分钟,二甲苯Ⅱ中浸泡20分钟,无水乙醇Ⅰ中浸泡10分钟,无水乙醇Ⅱ中浸泡10分钟,95%酒精中浸泡5分钟,90%酒精中浸泡5分钟,80%酒精中浸泡5分钟,70%酒精中浸泡5分钟,最后进行蒸馏水洗。
2.染细胞核:将切片浸入铁苏木素染液中染色1-2分钟,然后进行流水冲洗,分化,返蓝。
3.利用丽春红-酸性品红染色:将切片置于丽春红-酸性品红染液中进行染色5分钟,蒸馏水冲洗。
4.磷钼酸分化:将切片放入磷钼酸中进行分化数秒,然后进行水洗。
5.苯胺蓝染色:将切片放入苯胺蓝染液中进行染色5分钟,然后使用0.2%冰醋酸进行冲洗。
6.快速脱水和透明化:按照以下步骤进行脱水和透明化:依次将切片放入95%酒精Ⅰ中浸泡5分钟,95%酒精Ⅱ中浸泡5分钟,无水乙醇Ⅰ中浸泡5分钟,无水乙醇Ⅱ中浸泡5分钟,二甲苯Ⅰ中浸泡5分钟,二甲苯Ⅱ中浸泡5分钟,然后将切片从二甲苯中取出稍事晾干,最后使用黑龙江中性树胶封片。
7.镜检,并进行图像采集和分析。
三、Masson染色实验注意事项
1、严格掌握染色步骤,特别是在每个步骤之间进行充分洗涤是至关重要的。这有助于防止前一步骤的染料残留对下一步染色产生影响。
2、组织的有效固定在染色过程中发挥着至关重要的作用。根据使用不同固定液的情况,可以灵活调整染色时间,以实现最佳染色效果。
3、使用0.2%冰醋酸水溶液进行洗涤,有助于产生清晰鲜艳的色调。
4、注意避免过度干燥:在染色过程结束后,务必防止样本的过度干燥,以避免产生伪影。
5、苯胺蓝和丽春红要充分溶解然后过滤使用,不过滤的染液里面杂质过多,会阻碍染液和组织的结合紧密程度。
6、磷钼酸水溶液对丽春红和酸性复红具有分化作用。在分化过程中,通过镜下仔细控制,可以观察到肌纤维和纤维素呈现红色,而胶原纤维呈淡粉红色即可。

{陕西依科生物技术服务有限公司}口碑怎么样?{黑龙江全景数字扫描}哪里好?{黑龙江荧光扫描}找哪家?陕西依科生物技术服务有限公司专业从事{生物科研试剂的研发、销售及相关技术服务}