
新闻动态
联系我们
陕西依科生物技术服务有限公司首页 > 试验技术指导 > 黑龙江HE染色的操作流程
陕西依科生物技术服务有限公司免费为您提供{黑龙江全景数字扫描},{黑龙江荧光扫描},{黑龙江白光扫描}等一些相关信息的展示发布,请您关注本站!

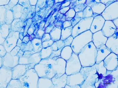
我们要在显微镜底下观察细胞的时候,就得把组织和细胞以及需要观察的东西切片,这些就得控制在厚度大概在1-10微米,这个厚度是最好观察物质的,如果没有在这个厚度之间的切片基本在观察就没有什么颜色。下面陕西依科生物技术有限公司针为大家介绍HE染色的具体操作步骤。
HE染色是基本病理的染色技术,HE染色是病理医生可以正确判断的唯一准则,首先在做实验的时候要准备乙醇、冰丙酮、苏木精染液、伊红染液、二甲苯、黑龙江中性树胶、培养瓶、培养皿、盖玻片、载玻片、显微镜等一些器材。首先将黑龙江石蜡切片脱蜡然后在将切片放进二甲苯无水乙醇,酒精,然后切片在放进伊红染色液中染色,然后就是将切片放入酒精和无水乙醇、二苯甲,脱水然后将切片拿出晾干,然后在封片。然后在用显微镜观察,图像采集。我们在做HE染色的实验时要注意以下细节,首先是脱蜡时要保持干净,已经苏木精染色的时间。以上就是HE染色的操作流程。
{陕西依科生物技术服务有限公司}口碑怎么样?{黑龙江全景数字扫描}哪里好?{黑龙江荧光扫描}找哪家?陕西依科生物技术服务有限公司专业从事{生物科研试剂的研发、销售及相关技术服务}