
新闻动态
联系我们
陕西依科生物技术服务有限公司陕西依科生物技术服务有限公司免费为您提供{黑龙江全景数字扫描},{黑龙江荧光扫描},{黑龙江白光扫描}等一些相关信息的展示发布,请您关注本站!
骨组织切片重要的前处理——脱钙
在病理科的日常工作中就出会收到带有骨头的病理组织标本,这种标本由于含有大量的磷酸钙和碳酸钙,一般非常的硬,如果不能做好前期处理,对我们的HE制片会造成不小的影响,如切片破损、刀痕严重等问题,那么怎样处理带有骨头的病理组织标本呢?这个时候就需要进行我们病理学中很常见的步骤了,就是组织脱钙,对于骨组织来说,脱钙是关键的步骤,能不能制出好的切片以及后期染色如何,全看这一步了。
脱钙前的固定
通常情况下,组织中如果含有骨、软骨等在HE制片钱都是要经过脱钙才处理的。首先,骨组织固定时间要适当,至少要达到24h,但不得不超过48h。固定时间过短或过长都不行,固定时间太久会严重影响抗原,后续做免疫组化试验很可能出现假阴性。固定时间 太短切片会泛红,看起来很奇怪。由于很多实验室并非恒温实验室,但是固定时间又很长,因此建议放入4℃冰箱中固定,保持低温而稳定的环境,效果会比较好。
脱钙试剂的选择
1)常用的脱钙液有无机酸、有机酸、混合酸以及电解脱钙液等。10%-50%的甲酸水溶液是常用的有机酸。脱钙时间由甲酸的浓度而定,10%甲酸脱钙需要3天,而50%甲酸脱钙需2天。甲酸浓度越高,脱钙速度越快,但同时也会伤害骨组织,导致组织结构不完整,研究鼻腔这种精细结构时50%甲酸是不可取的。脱钙过程需勤换脱钙液,保持浓度,推荐在4℃冰箱中温和地脱钙。注意,千万不要过度脱钙,否则组织会被酸分解,到时整个组织就烂了。
2)另外一种有机酸是EDTA,即乙二胺四乙酸这是一种接近中性液体,可以螯合骨组织中的钙离子。理论上讲它是完美的科研用脱钙液,可以完美地保存骨组织的抗原性、酶类等,但它的脱钙至少需要2周,长的能到3个月。
3)无机酸一般为硝酸。脱钙强度太大,稍不注意组织就脱烂了,不易控制,一般不推荐使用。室温下,浓度在8%以上的硝酸脱钙,超过2天,组织会有明显缺损。
4)混合酸即有机酸和无机酸混合使用,但是脱钙效果不佳,用的较少。
脱钙后的漂洗
需要注意的是,不管是用无机酸还是有机酸又或者是混合酸,脱钙后都需要使用流水充分漂洗。这一步也非常重要。 如果是鼻腔这种精细的组织,则漂洗6h即可,以免组织吸水后膨胀导致原始位置偏移。 这是好的方法。可以洗去骨组织中残留的酸,从而保证骨组织PH为中性,这是保证后期染色正常的重要步骤。如果没有漂洗干净,后期染色会偏红,蓝色的细胞核也会模糊不清。
脱钙效果的判断
脱钙时间的掌握是制片成功的关键,脱钙时间太短,会造成切片时刀痕严重、切片破碎,脱钙时间过长,又会造成HE染色不佳、免疫组化染色也容易出现假阴性。那么我们该如何判断脱钙效果呢?经济、省事的方法就是使用针灸用的针,如果能轻松戳进骨组织,则代表脱钙完全。如果针身弯曲了还是扎不进去,那就更换新鲜的脱钙液,继续脱钙。
骨组织常做的染色
1.HE染色
HE染色是组织学中基础、使用广泛的染色手段,相信大家对此都不陌生。HE染色可以区分一般的骨组织结构和细胞,但单一的HE染色并不能区分新生骨组织的数量、胶原以及其他细胞状态,大多数都需要配合其他染色技术共同观察骨愈合状态。特别的,现在都需要对新生组织进行量化研究,HE染色显然是不能满足要求的。

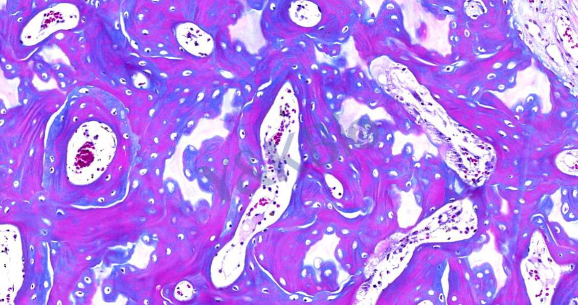
Masson染色的颜色对比鲜明,可见明显的胶原纤维网(黑龙江苯胺蓝染色则为蓝色,甲基绿则为绿色),能较好地反映纤维组织的形态。其中,蓝色表示新形成的骨,红色表示成熟的骨组织。

3.番红O-固绿染色
番红O-固绿染色可直观反映关节软骨、软骨下的骨组织结构,嗜碱性的软骨与碱性染料番红 O 结合呈现红色,嗜酸性的骨和酸性染料固绿结合而成蓝色,在关节软骨及软骨下骨的形态学研究中受到了欢迎。

4.Trap染色
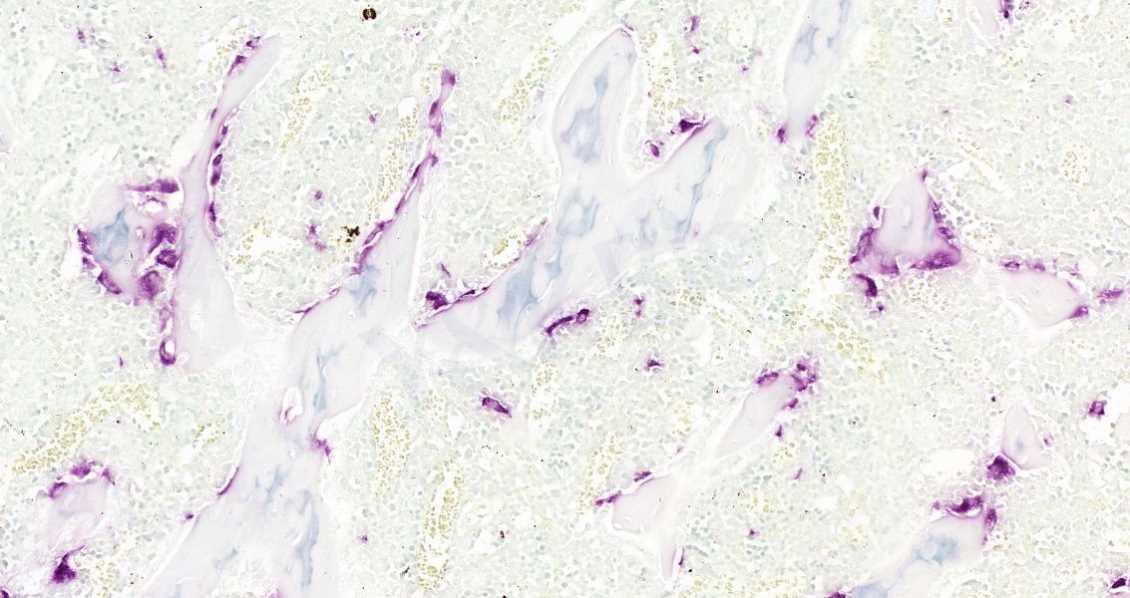
Trap染色是用于检测骨组织、骨细胞中特征物质的染色,使破骨细胞呈红色,背景呈绿色或蓝色。抗酒石酸酸性磷酸酶(Trap)为破骨细胞的标志酶,特异地分布于破骨细胞中,为破骨细胞所特有,通常作为鉴别破骨细胞的重要标志物。

软骨基质对甲苯胺蓝的异染性,是因为软骨基质的主要成分是软骨黏蛋白、多糖物质,而酸性硫酸根与嗜碱性染料有亲和力。此法用于显示新生骨组织钙盐沉积,成骨细胞数目统计,观察软骨退变,软骨细胞坏死钙化,软骨基质裂隙,胶原纤维增生等病理改变。染色结果:软骨和成骨细胞呈蓝紫色,背景呈淡蓝色。

{陕西依科生物技术服务有限公司}口碑怎么样?{黑龙江全景数字扫描}哪里好?{黑龙江荧光扫描}找哪家?陕西依科生物技术服务有限公司专业从事{生物科研试剂的研发、销售及相关技术服务}