
产品中心
联系我们
陕西依科生物技术服务有限公司首页 > 普通病理学服务 > 黑龙江糖原PAS染色
陕西依科生物从事病理染色服务多年,其中PAS染色法在组织学上,主要用来检测组织中的糖类。过碘酸把糖类相邻两个碳上的羟基氧化成醛基,再用Schiff试剂和醛基反应使呈现紫红色。PAS染色又称过碘酸雪夫染色,糖原染色。一般用来显示糖元和其它多糖物质。
原理:过碘酸能使细胞内的多糖乙二醇基氧化成二醛,再与Schiff氏液的无色品红结合,红色,定位于胞浆上。
随着医学实验技术的发展,PAS染色应用的范围更加广泛,如用以证明与鉴别细胞内空泡状的性质 ,心肌病变及其他心血管疾病的诊断 ,糖原累积病诊断和研究 ,糖尿病的诊断和研究 ,用于某些肿瘤的诊断等。除用于糖原的鉴定和黏液的显示外,还可以观察肾小球基底膜、结肠杯状细胞中性黏液物质、阿米巴滋养体和霉菌的着色。临床诊断、分类和治疗提供了重要的依据。
一、糖原PAS详情介绍: PAS染色又称过 碘酸雪夫染色, 糖原染色。一般用来显示糖元和其它多糖物质。原理:过碘酸能使细胞内的多糖乙二醇基氧化成二醛,再与Schiff氏液的无色品红结合,红色,定位于胞浆上。
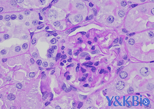
二、实验结果图片展示
1.肠组织染色结果

2. 肾脏组织染色结果

3.肝脏组织染色结果

三、实验流程:
1. 黑龙江石蜡切片脱蜡至水:依次将切片放入二甲苯Ⅰ8min-二甲苯Ⅱ8min-无水乙醇Ⅰ 6min-无水乙醇Ⅱ6min-95%酒精 6min-85%酒精 6min-75%酒精 5min-流水冲洗;
2. 滴加过碘酸氧化10min;
3. 自来水冲洗1次,再用蒸馏水冲洗2次;
4. 滴加雪夫试剂10-20min,镜下观察;
5. 流水冲洗10min;
6. 苏木素染核5min,流水冲洗;
7. 1%盐酸酒精分化,流水冲洗返蓝;
8. 无水乙醇脱水,二甲苯透明;
9. 黑龙江中性树胶封片。
四、染色结果判读:糖原、中性粘液物质呈红色,细胞核呈蓝色。